Pneumonia and Paris
Thursday, March 31st, 2016It sucks to get sick. It sucks even worse to get sick right before a scheduled work trip to Paris, which is what happened to me a few weeks ago.
But then I started getting better and I thought, “Hey, I think it’s just a mild cold and I’m almost well, I’ll just power through.”
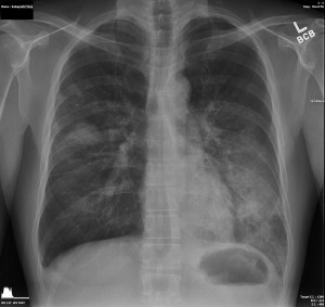
So I took a bunch of NyQuil, packed my things, and went to Paris! And that’s how I developed double pneumonia. I don’t think it was Paris per-se but the 11-and-a-half-hour flight, lack of sleep, jet lag, and all the running around to get to where we were staying. Apparently the body has limits.
Being sick sucks. Being sick in a foreign country where you barely speak the language … well you get the idea. But between my feeble attempts of “Avez-vous des NyQuil?” and the pharmacist’s much better command of English, I was able to get at least some relief.
So, lessons learned:
- Don’t travel on a long international flight if you’re sick. It’s not worth it.
- A week of not being able to sleep properly will make you delirious.
- On the other hand, the pastries are to die for! Well, maybe not literally.
- Paris is a wonderful city and I’m sure it’s much more enjoyable when not on the verge of death.
- Modern medicine is amazing. I managed to make it to a clinic back in the States and they were like, “Yup, you’ve go pneumonia, like, rilly bad.” Then they shot me in the butt with antibiotics and I started to feel a little better immediately. I almost wept. Then they prescribed a bunch more stuff and I finally started to recover.
On the plus side, Tracy and Dyson got to see a little bit of Paris:

